Что такое коронаграфия
Коронарография – наиболее точный метод, позволяющий установить особенности анатомии сосудов сердца, локализацию и степень их сужения. Это имеет важнейшее значение для правильного выбора метода лечения Вашего заболевания (баллонная ангиопластика, стентирование или аортокоронарное шунтирование коронарных артерий). В неясных случаях проведение коронарографии назначается для точного установления диагноза и определения прогноза, течения заболевания и лечения.
Исследование проводится через бедренную или лучевую артерию под местной анестезией новокаином или лидокаином. Пункционным методом через артерию в аорту последовательно вводятся специальные тонкие катетеры, которые устанавливаются в устье артерии и в различных отделах сердца. Через катетер вводится йодсодержащее рентген контрастное вещество, заполняющее просвет артерии или полость левого желудочка и позволяющее увидеть их с помощью специальной телекамеры. Как правило, контраст вводится несколько раз для визуализации артерии в разных проекциях. Во время исследования регистрируется электрокардиограмма, давление в аорте и в полостях сердца, получают изображение артерий сердца в различные фазы его сокращения. Во время исследования Вы можете почувствовать небольшую боль в месте пункции во время проведения местного обезболивания, а также небольшое ощущение «жара» во время введения контрастного вещества, другие ощущения связанные с особенностями Вашей гемодинамики.
Коронарография является относительно безопасным методом, риск серьезных осложнений небольшой: инфаркт миокарда у 0,06-0,1% пациентов, острое или преходящее нарушение мозгового кровообращения в 0,07-0,2% случаев, смертельные случаи встречаются у 0,1% пациентов. Примерно у 0,6% пациентов могут возникнуть осложнения в области пункции артерии (кровотечение, тромбоз или аневризма артерии), что очень редко может потребовать хирургического лечения или переливания крови. Очень редко были отмечены такие осложнения, как повреждение стенки сердца, аллергическая реакция на контрастное вещество. По результатам проведенного исследования Вам может быть проведено дальнейшее лечение: баллонная ангиопластика, стентирование сосудов сердца.
Коронарография в вопросах и ответах. Информация для пациентов
Что такое коронарография (КГР)?
Коронарография — это инвазивный (т.е. связанный с проникновением внутрь организма) рентгеноконтрастный метод исследования артерий сердца, позволяющее увидеть внутренний контур артерий сердца на рентгеновском изображении. Метод основан на том, что к артерии сердца (коронарной артерии) подводится катетер (катетер представляет собой тонкую и гибкую полую трубку), через которую внутрь коронарной артерии вводится специальное контрастное вещество, распознающееся рентгеновскими лучами. Общий вид исследуемых сосудов при просвечивании рентгеном выводится на монитор специальной компьютерной техники. На данный момент коронарография является «золотым стандартом» в качестве диагностики заболеваний артерий сердца.
Как проводится коронарография?
Иглой пунктируют бедренную артерию на ноге (в верхней трети бедра) или на руке (лучевую артерию на предплечье около запястья или плечевую артерию). По специальной методике в артерию вводят катетер называемый интродьюсером. Под рентгеновским контролем длинный катетер через интродьюсер по направляющей (проводнику) подводится к устью коронарной артерии, устанавливается непосредственно (селективно) в устье артерии. По катетеру селективно в коронарную артерию вводится рентгеноконтрастное вещество. Одновременно с этим, выполняется ряд рентгеновских снимков в разных проекциях (под разными углами), что позволяет увидеть внутренние контуры артерии с местами сужений (стенозов) и расширений, с местами закупорки артерий (окклюзий) и пристеночными тромбами; позволяет оценить состояние атеросклеротических бляшек (осложнённые, разорванные, расслоенные и т.п.).
Внизу доступ через руку (катетер в лучевой артерии).
Внизу схематически представлена коронарография через бедренную артерию
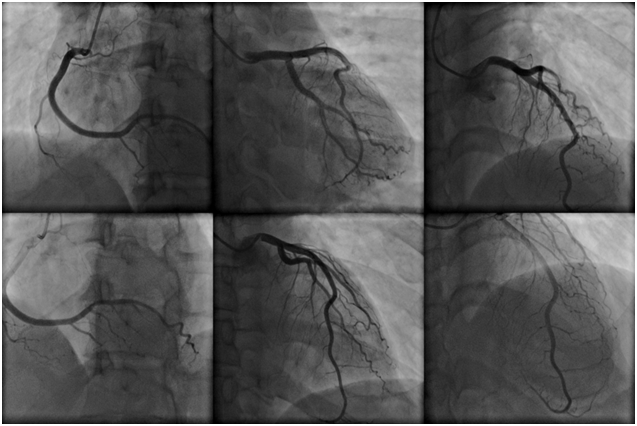
Внизу – так выглядят коронарные артерии на коронарограммах
Необходим ли наркоз при проведении коронарографии?
Исследование не сопровождается болевыми ощущениями. Не значительные болевые ощущения могут возникать при пункции артерии, поэтому необходимости в общей анестезии (наркозе) нет. Исследование проводится под местной анестезией т.е. пациент находится в сознании, обезболивается только место пункции. Обычно перед коронарографией (за 30-120 мин до начала) вводят седативные (успокаивающие) препараты.
Какие показания к проведению коронарографии?
Показанием к коронарографии является решение о необходимости оперативного вмешательства (прежде всего чрезкожного коронарного вмешательства — баллонной ангиопластики и стентирования значительно суженной коронарной артерии, а так же при открытой кардиохирургической операции – коронарного шунтирования или (и) операции на клапанах сердца).
В некоторых, чаще всего экстренных и срочных случаях, коронарография может проводится для уточнения диагноза, когда решение нужно принять быстро, не тратя время на иные методы диагностики, например, когда клиническая картина похожа на острый инфаркт миокарда, но уверенности в диагнозе нет. В таких случаях, если диагноз на исследовании подтверждается, то пациенту предлагают экстренное оперативное вмешательство (коронарное стентирование).
Есть ли противопоказания к коронарографии?
К проведению КГР существуют только относительные противопоказания (относительные — значит, что в определенных условиях этими противопоказаниями можно пренебречь):
- аллергия на йод содержащие препараты (рентгеноконтрастное вещество содержит йод),
- почечная недостаточность, креатинин больше 150 ммоль/л,
- недостаточность кровообращения 3-4 стадии,
- неконтролируемая артериальная гипертония,
- декомпенсация сахарного диабета,
- нарушения психики,
- обострение язвенной болезни,
- поливалентная аллергия,
- эндокардит,
- обострение тяжелых хронических заболеваний
в каждом случае врач обсудит с Вами вероятный риск и ожидаемую пользу от процедуры.
Какие осложнения могут развиться во время или после коронарографии?
Коронарография, несмотря на высокий уровень безопасности, серьезная процедура, при проведении которой возможны не менее серьезные осложнения. Осложнения составляют около 1% от общего числа проводимых процедур и могут проявляться в виде (частота на 1000 проведенных исследований):
- Летальный исход 1-1,5
- Инфаркт миокарда 1-2
- Инсульт или проходящие невролгические осложнения 2-5
- Опасные нарушения ритма сердца (в том числе жизнеугрожающие) 1-2
- Сосудистые осложнения (гематомы, кровотечения и т.д.) 10-20
Как видите, осложнения достаточно серьёзные, именно поэтому не рекомендуется проведение этой процедуры без веских на то оснований.
Однако процедура проводится в условиях стационара, где круглосуточно находятся специалисты, которые смогут провести своевременное лечение и снизить риски тяжелых осложнений. Если пациент находится в зоне риска развития неприятных последствий, необходимо тщательно взвесить все за и против данного обследования.
Сколько длится процедура коронарографии?
На вопрос о том, сколько длится процедура, невозможно дать точный ответ. Все зависит от индивидуальных особенностей строения сосудов пациента. В среднем процедура занимает около 60 минут времени, однако в операционной пациент может находиться не меньше 1.5-2 часов. В некоторых случаях процедура может длиться несколько часов.
Как ведут пациента после проведения коронарографии?
После проведения коронарографии, пациент переводится в палату под наблюдение дежурного персонала, возможно, будет необходимость в наблюдении и лечении в палате интенсивной терапии и реанимации.
Сколько времени необходимо находиться в больнице?
Плановая, неосложненная коронарография требует госпитализации от 1 до 3 суток. Как правило, первые 2-6 часов после проведения КГР рекомендуется строгий постельный режим.
Порядок направления и необходимые обследования на коронарографию и рентгенэндоваскулярные вмешательства
Согласно приказу УЗ « Новополоцкая центральная городская больница» от 31.07.2019г. №996 «Об оптимизации оказания рентгенэндоваскуляной помощи населению региона» отбор пациентов для проведения плановых рентгенэндоваскулярных вмешательств осуществляется комиссией, которая заседает каждый вторник в 15.00 в кабинете №155 терапевтического корпуса городской больницы.
Пациенты, направляемые для рентгенэндоваскулярной диагностики или лечения сосудов сердца (коронарография и др.), должны иметь:
- направление лечебного учреждения с обязательным указанием фамилии направившего врача-специалиста и его контактного телефона;
- выписки из медицинских документов (эпикризы) предыдущих госпитализаций;
- обязательно должны быть указаны сопутствующие заболевания, аллергоанамнез, ВН, проводимое медикаментозное лечение;
- результаты проведенных общеклинических, специальных и дополнительных исследований:
4.1. общего анализа крови (давность до 2-х недель);
4.2. общего анализа мочи (давность до 2-х недель);
4.3. коагулограммы (давность до 2-х недель);
4.4. развернутого биохимического анализа крови (мочевина, креатинин, билирубин, АЛТ, АСТ, глюкоза, общий белок, электролиты, КФК) (давность до 2-х недель);
4.5. группа крови и резус-фактор;
4.6. анализа крови на ВИЧ и вирусные гепатиты (давность до 2-х месяцев);
4.7. ЭКГ в 12 отведениях;
4.8. ФГДС давностью до 2-х месяцев (при наличии язв, эрозий – курс противоязвенного лечения и ФГДС-контроль);
4.9. рентгенографии грудной клетки (до года);
4.10. онкоосмотр;
4.11. обязательно наличие протоколов эхокардиографии и нагрузочного теста с давностью выполнения не более 6 месяцев;
4.12. при наличии предоставить протоколы холтеровского мониторирования, компьютерной томографии, ангиографии и МРТ.
- выполнить санацию ротовой полости (осмотр стоматолога);
- паспорт или вид на жительство.

Морозов Леонид Георгиевич
Заведующий кабинетом ангиографии (рентгенооперационной)

Морозова Елена Вацлавовна
Операционная сестра (старшая) кабинета ангиографии (рентгенооперационной)
В 1996 году окончила Полоцкое мед училище.
С 1996 года медицинская сестра-анестезист отд АиР.
С 2019 операционная сестра (старшая) кабинета ангиографии.
Имеет высшую квалификационную категорию.

Лашков Александр Александрович
Врач-рентгено-эндоваскулярный хирург
Окончил Витебский государственный ордена Дружбы народов медицинский университет в 2016 году.
Работал врачом-хирургом Полоцкой центральной городской поликлиники до 2020 года.
Проходил переподготовку в РНПЦ «Кардиология» по специальности: «Рентгено-эндоваскулярная хирургия» в 2020 году.
С 2020 года работает врачом-рентгено-эндоваскулярным хирургом в кабинете ангиографии(рентгеноперационной) Новополоцкой центральной городской больницы.
Имеет вторую квалификационный категорию.







